
УЗИ позволяет не только установить наличие беременности, но и наблюдать за процессами роста и развития малыша. Ультразвуковое исследование является единственным методом, позволяющим выявить пороки развития плода. Исследование позволяет своевременно выявлять замершую беременность, внематочную беременность, установить причину кровянистых выделений, заподозрить наличие хромосомной патологии у плода (например, болезни Дауна).
Безопасность УЗИ при беременности подтверждена исследованиями Американского Института Ультразвука в Медицине, в ходе которых не было установлено каких-либо изменений тканей и клеток млекопитающих при воздействии на них ультразвуком. При использовании этого метода на протяжении более 30 лет не было получено данных о возникновении каких-либо осложнений у плода.
Узи плода прочно вошло в клиническую практику. Мы предоставляем Вам информацию о том, что должно включать в себя УЗИ в различные сроки беременности и какой результат Вы должны получить после прохождения этого исследования.
Первое УЗИ на ранних сроках беременности обычно проводится при помощи трансвагинального датчика. В 6-10 недель беременности УЗИ позволяет установить, что данная беременность является прогрессирующей, (т.е. плод имеет нормальное сердцебиение), развивается внутри матки (т.е. исключить грозный диагноз внематочной беременности), установить количество плодов. Это исследование рекомендовано тем женщинам, у которых при этой беременности появились кровянистые выделения, или при наличии в прошлом выкидыша, замершей или внематочной беременности.
В 11 недель плод достигает достаточных размеров, и можно проводить подробную оценку его основных анатомических структур. В эти сроки могут быть диагностированы выраженные пороки развития плода, которые несовместимы с жизнью или приводят к тяжелой инвалидизации.

Так проводится измерение копчико-теменного размера плода в первом триместре

Рука плода на 12-й неделе беременности
С 11 по 13 неделю можно выявить ультразвуковые маркеры (признаки) хромосомной патологии плода – увеличение толщины воротникового пространства плода и отсутствие у него носовой кости при проведении УЗИ.
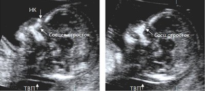
Толщина воротникового пространства плода (ТВП) – это размер участка между кожей плода и мягкими тканями, окружающими шейный отдел позвоночника. Воротниковое пространство выявляется у плодов как в норме, так и при хромосомных заболеваниях (например, болезни Дауна), но для плодов с хромосомными заболеваниями характерно увеличение толщины воротникового пространства более 2,5мм. Воротниковое пространство у всех плодов самопроизвольно исчезает после 14 недель беременности, поэтому очень важно пройти исследование с 11 по 13 неделю беременности, когда его можно измерить.
Носовая кость в норме определяется при УЗИ с 10 недели беременности. У плодов с хромосомной патологией процессы окостенения происходят позже, поэтому отсутствие носовой кости при ультразвуковом исследовании в эти сроки может являться признаком хромосомной патологии плода.
Для оценки этих признаков врач должен обладать высокой квалификацией, так как получение необходимых ракурсов плода в ранние сроки беременности требует опыта и технических навыков. Для измерения ТВП необходимо получить такое изображение:

На фото УЗИ беременной видна только голова и верхняя часть туловища плода, четко виден профиль, носовая кость и ТВП. Достаточно часто можно увидеть такие некорректные изображения:

На этих изображениях плод лежит криво, увеличение изображения недостаточное, нельзя увидеть четкий профиль плода. Измерение ТВП в таких изображениях НЕКОРРЕКТНО и приводит к завышению или занижению риска болезни Дауна!!!
Помимо измерения толщины воротникового пространства и оценки носовой кости, предложено еще несколько маркеров: оценка кровотока через трикуспидальный клапан сердца и через венозный проток, а так же измерение лицевого угла плода. Оценка данных маркеров требует от врача высокой квалификации, и возможна только после получения международной сертификации по каждому маркеру.
Обычно кровь в сосудах плода течет в одном направлении: от сердца к периферическим сосудам. При наличии хромосомной патологии у плода или пороков сердца направление тока крови может изменяться, и в некоторые фазы сердечного цикла кровь начинает течь обратно к сердцу.

Нормальный кровоток в венозном протоке плода в 12 недель беременности

Обратный кровоток в венозном протоке плода в 12 недель беременности
Регистрация кровотока через трикуспидальный клапан сердца и через венозный проток (этот небольшой сосуд есть только у плодов, в периоде новорожденности кровоток в нем прекращается, и он закрывается) позволяет выявить до 65% плодов с болезнью Дауна. У 1-3% нормальных плодов мы также можем увидеть обратный кровоток в венозном протоке или через трикуспидальный клапан, поэтому эти признаки должны оцениваться в комплексе с другими данными ультразвукового исследования.

Нормальный кровоток через трикуспидальный клапан сердца плода при сроке 12 недель

Патологический обратный кровоток через трикуспидальный клапан сердца плода в 12 недель беременности
Измерение лицевого угла плода основано на том факте, что лица у пациентов с болезнью Дауна более широкие и плоские, чем у обычных людей. Та же закономерность отмечается и у плодов при данном заболевании. Измерив угол между лобной костью и верхней челюстью плода, можно сделать объективное заключение о наличии уплощенного профиля у плода; данный маркер присутствует у 60-65% плодов с болезнью Дауна в 1 триместре беременности.

Методика измерения лицевого угла плода в 12 недель беременности
При соблюдении необходимых стандартов, ультразвуковое исследование в 11-13 недель беременности с оценкой толщины воротникового пространства, носовой кости, лицевого угла, кровотока через трикуспидальный клапан и венозный проток позволяет выявить до 80% плодов с болезнью Дауна и другими хромосомными заболеваниями, а в сочетании с биохимическим скринингом позволяет довести эффективность диагностики до 85-90%. Следует еще раз подчеркнуть, что оценка этих маркеров требует высокой квалификации врача и возможна только после прохождения соответствующего тренинга и сертификации.
Ультразвуковое исследование в 11-13 недель беременности в настоящее время является наиболее эффективным способом профилактики рождения ребенка с болезнью Дауна или другими хромосомными заболеваниями.
Схема измерения толщины воротникового пространства


А так выглядит плод на объемных изображениях (3D/4D УЗИ) в первом триместре:

Мы надеемся, что эта информация поможет Вам лучше понять, для чего мы проводим это исследование, и почему важно провести его именно с 11 по 13 неделю беременности.
В 18-22 недели беременности плод достигает массы 400-500 грамм и длины 22-27 см. При таких размерах ультразвуковое исследование позволяет детально рассмотреть все анатомические структуры плода и выявить большинство пороков развития, которые требуют хирургической коррекции или приводят к ухудшению качества жизни ребенка. Кроме того, на этом УЗИ проводится поиск маркеров (признаков) болезни Дауна и других хромосомных болезней. Вид многих органов плода при болезни Дауна имеет небольшие отличия от вида нормальных органов, и комплексная оценка всех анатомических структур позволяет оценить риск наличия у плода болезни Дауна и рекомендовать, при необходимости, углубленную диагностику (инвазивными методами) этого заболевания.
После проведения УЗИ на этих сроках большинство вопросов пренатальной диагностики считаются закрытыми.
Кроме того, на УЗИ в 18-22 недели оценивается количество околоплодных вод, положение и структура плаценты. Трансвагинальным датчиком можно точно измерить длину шейки матки и таким образом определить риск развития преждевременных родов. Особенно это исследование рекомендовано женщинам, у которых уже были преждевременные роды, операции на шейке матки, а так же при многоплодной беременности.

Профиль плода на 20-й неделе беременности в режиме 2D

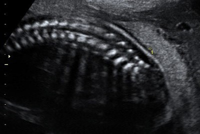
Позвоночник плода на 21-й неделе беременности в режиме 2D

Камеры сердца плода на 22-й неделе беременности в режиме 2D

УЗИ пплода в 21 неделю и 4 дня в режиме 3D
Основная задача УЗИ в 32, 33, 34 недели - измерение окружности головы и живота, длины костей конечностей, и вычисление предполагаемой массы плода. Это позволяет спрогнозировать, возможны ли самопроизвольные роды, нет ли задержки развития плода или его непропорционального развития.
Кроме того, УЗИ в 32-34 недели позволяет:

Лицо плода в 3-х проекциях в режиме 2D и его трехмерная (3D) реконструкция
Обычное УЗИ представляет собой серию двухмерных плоских изображений плода или его отдельных органов.
3D (3Д) УЗИ – это способ получения изображения, которое достигается путем сложного преобразования полученной двухмерной информации в трехмерную объемную модель. Преобразования выполняются при помощи специального трехмерного датчика и компьютерных программ, входящих в состав ультразвукового аппарата. Полученные объемы можно поворачивать и рассматривать с различных сторон.
4D(4Д) УЗИ – это получение трехмерного изображения плода и его движений в реальном времени. Таким образом, помимо объемного изображения плода добавляется четвертое измерение – время, и можно рассматривать двигательную активность и мимику плода в движении.
УЗИ в режимах 3Д и 4Д можно делать на разных сроках беременности, но результат и качество изображения в первую очередь зависит от положения плода в матке, количества околоплодных вод перед его лицом, наличия препятствий на пути движения ультразвуковой волны (миома матки, рубец на матке, подкожная клетчатка могут затруднять осмотр и ухудшать качество изображения). Так, если плод лежит вплотную к стенке матки, то получить трехмерное изображение его лица практически невозможно, как невозможно увидеть лицо человека, который уперся головой в стену. Иногда приходится подождать 15-20 минут, и продолжить исследование после изменения положения плода.
Оптимальный срок для получения изображения лица плода – 20-26 недель беременности. На этих сроках плод часто меняет свое положение, и вокруг него есть достаточное количество вод, чтобы увидеть лицо и туловище. После 30 недель беременности плод такой большой, что ему приходится хорошо сгруппироваться, чтобы уместиться в матке. При этом получение красивого трехмерного изображения лица может быть затруднено и даже невозможно – все зависит от положения плода.
Важно понимать, что УЗИ в режиме 3Д/4Д выполняется в дополнение к обычному УЗИ плода, и не может полностью заменить его. Измерение размеров плода и исключение пороков развития проводится с помощью обычного двухмерного УЗИ. Лишь при некоторых пороках развития применение трехмерного УЗИ дает врачу дополнительную информацию.

3D УЗИ пплода в 11 недель и 4 дня

3D УЗИ пплода в 21 неделю и 4 дня
УЗИ при многоплодной беременности
Многоплодная беременность считается беременностью высокого риска различных осложнений для матери и плодов, так как организм женщины больше рассчитан на вынашивание одного плода. Поэтому при многоплодной беременности необходимо более часто проводить УЗИ и наблюдать за ростом и развитием плодов.
Есть несколько типов двоен – в зависимости от количества плацент и оболочек.
Дихориальная диамниотическая двойня – самый благоприятный тип двоен. У каждого плода есть своя плацента, и свое околоплодное пространство, отделенное от другого амниотической перегородкой. Плоды могут быть одинакового или разного пола. Вероятность задержки развития одного из плодов при этом – 20% (в 4 раза выше, чем при одноплодной беременности), преждевременных родов – 5% (1% при одноплодной беременности). Для того, чтобы своевременно выявить эти осложнения, необходимо проводить УЗИ в 11-13 недель, 18-22 недели (как при одноплодной беременности) и далее каждые 4 недели до родов (при одноплодной беременности – в 32-34 недели). Если выявляются какие-либо осложнения, количество УЗИ может увеличиваться.
Монохориальная диамниотическая двойня – возникает при разделении оплодотворенной яйцеклетки на две части. При этом у плодов имеется одна общая плацента и собственное околоплодное пространство. Плоды всегда одного пола и полностью генетически идентичны. Наличие единой плаценты может приводить к развитию специфических осложнений, связанных с тем, что сосуды в этой плаценте могут соединять системы кровообращения обоих плодов. При этом один плод получает некоторое количество крови от другого плода, и они оба страдают от этого: у одного есть избыток крови, что приводит к повышенной нагрузке на его сердце; второй получает недостаточное количество крови, кислорода и питательных веществ, и начинает расти медленнее, в результате чего у него формируется задержка внутриутробного развития. Такое осложнение называется фето-фетальный трансфузионный синдром, и без своевременного лечения может привести к гибели одного или обоих плодов. Для того, чтобы не пропустить это осложнение, необходимо делать УЗИ в 11-13 недель (как при одноплодной беременности), в 16, 18, 20, 22, 24, 26, 28 недель беременности. Если выявляются признаки фето-фетального синдрома, УЗИ нужно выполнять еще чаще – 1 раз в неделю. Если до 28 недель беременности нет никаких признаков этого синдрома, то в дальнейшем его развитие крайне маловероятно, и УЗИ можно выполнять 1 раз в 4 недели – как при дихориальной двойне.
Монохориальная моноамниотическая двойня - возникает при разделении оплодотворенной яйцеклетки на две части, при этом у плодов имеется общая плацента и общее околоплодное пространство. Плоды всегда одного пола и полностью генетически идентичны. Это крайне редкий тип двоен, и сопровождается самым большим риском осложнений, задержки развития и внутриутробной гибели. Помимо осложнений, связанных с единой плацентой (см. описание выше), плоды находятся в общем околоплодном пространстве и не разделены амниотической оболочкой. Это может привести к перекруту и пережатию их пуповин, прекращению поступления крови к одному из них и, соответственно, его гибели. Риск этого осложнения очень велик, поэтому УЗИ делается каждую неделю беременности, а при выявлении признаков перекрута пуповины рекомендуется госпитализация и ежедневное наблюдение плодов; если состояние одного из плодов становится критическим, требуется немедленное родоразрешение путем операции кесарева сечения.