
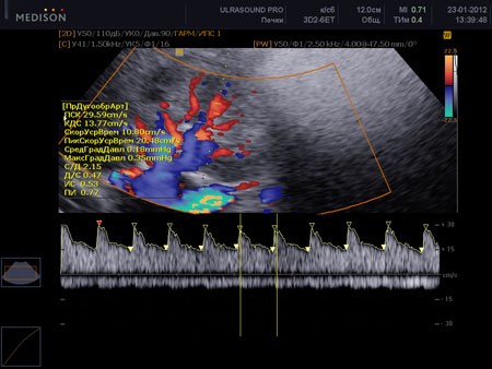
Дуплексное сканирование сосудов основания головного мозга - это исследование артериальных сосудов основания головного мозга бассейна внутренней сонной и позвоночных артерий с проведением функциональных проб и исследованием путей коллатерального кровоснабжения. Также в объем исследования входит исследование путей венозного оттока (у детей – включая кавернозный синус) от глубоких и поверхностных вен головного мозга с проведением функциональных проб.
ТКДС сосудов головного мозга у взрослых методически правильно выполнять только после проведения УЗДС экстракраниального отдела брахиоцефальных сосудов (сосудов шеи, которые несут кровь к головному мозгу).
У детей до 16 лет ТКДС сосудов головного мозга является первым этапом диагностики сосудистой патологии брахиоцефальных сосудов.
Транскраниальное дуплексное сканирование сосудов головного мозга не требует от пациента дополнительной подготовки. Желательно в день исследования не принимать препаратов, влияющих на артериальное давление и не курить до исследования.
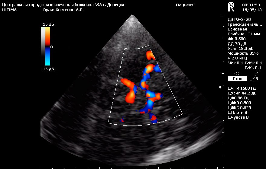
УЗДС БЦС – это ультразвуковое исследование магистральных сосудов головы с цветовым допплеровским картированием и спектральным допплеровским анализом, являющееся одним из основных методов диагностики патологии мозгового кровообращения. В большинстве случаев исследование сосудов головы и шеи, расположенных вне полости черепа (экстракраниально), проводится в комплексе с транскраниальным дуплексным сканированием, описанным выше.
Высокое разрешение ультразвукового дуплексного сканирования в сочетании с неинвазивностью и возможностью многократных повторных исследований делает метод незаменимым инструментом не только в клинической неврологии, но и при осуществлении полноценного профилактического скрининга в бессимптомной популяции. В отличие от УЗДГ при этом могут быть выявлены малые и средние стенозы сонных артерий, произведена оценка деформаций сосудов, значительно расширяются возможности дифференциальной диагностики. В связи с этим можно констатировать, что дуплексное сканирование - основной метод скрининга у лиц без клинических симптомов нарушений мозгового кровообращения.
Проводится при таких состояниях:
· Подозрение на почечную артериальную гипертензию
· Визуализация дополнительных ветвей почечной артерии при вазоренальном конфликте, синдроме Фрейли
· Подозрение на тромбоз почечных вен
· Подозрение на синдром мезентериального пинцета
· Оценка особенностей кровоснабжения почки перед оперативным вмешательством
· Гематурия (кровь в моче)
· Оценка степени и диагностика нефроангиосклероза
· Дифференциальная диагностика обструктивной и необструктивной нефропатии
· Диагностика начальных стадий пиелонефрита
При дуплексном сканировании сосудов почек определяют количество почечных артерий, место их отхождения от аорты, взаимоотношения с нижней полой веной и верхней брыжеечной артерией. Исследуются и сравниваются скорости кровотока в аорте и почечных артериях. Изменение соотношения скоростей представляют важный диагностический материал, который позволяет заподозрить стеноз (сужение) устья артерий. В почке артерия делится на сегментарные ветви, междолевые, дуговые и внутридольковые артерии. При дуплексном сканировании проводится визуальная оценка распределения кровотока в почки и измеряются скоростные характеристики и коэффициенты, которые сравниваются с данными противоположной стороны.
Дуплексное сканирование почечных артерий относится к технически сложным исследованиям. При проведении дуплексного сканирования сосудов почек очень важна подготовка пациента, так как газы, содержащиеся в кишечнике делают невозможным визуализацию почечных артерий.
Однако данная подготовка противопоказана при болезнях, требующих регулярного приема медикаментов и строжайшего соблюдения диеты (например, при гипертонии, сахарном диабете, ишемической болезни сердца).
Сделать УЗИ почек важно утром (натощак). Но если обследование по каким-то причинам назначено во 2-й половине дня, то в утренние часы (до 7 утра) допускают легкий завтрак. В этом случае нужно выдержать интервал между процедурой и приемом пищи не меньше 6 часов.